13515 NE 175th Suite B Woodinville, WA 98072 (800) SMILING (800) 764-5464 (425) 483-2442
Dentists: Thomas O. Marxen, DDS, MSD. Erica Yang, DDS.
If you have missing teeth, it is crucial to replace them. Without all your teeth, chewing and eating can destabilize your bite and cause discomfort. When teeth are missing, your mouth can shift and even cause your face to look older. Implants are a great way to replace your missing teeth.
Dental implants are used as an option to replace missing teeth and to prevent further bone loss. These artificial teeth have a natural look and feel, and closely mimic the look and functionality of a natural tooth. Dental implants are an advanced alternative to dental bridges and can eliminate the need for dentures. This is because dental implants function exactly like natural teeth to help you smile, eat, and speak with the freedom a full set of teeth provides:
Dr. Marxen and Dr. Yang use the latest technology in bone and tissue regeneration (PGRF), which achieves regeneration of bone around implants. This technology promotes faster healing with less discomfort.
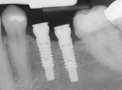
An excellent option for replacing missing teeth is a dental implant. The most common type of dental implant is the root-form implant which, as its name implies, is about the same size and shape as the root of a tooth. Root-form implants are made from titanium, and they are surgically placed in the jawbone where they heal firmly in place. After healing is complete, a crown or other dental restoration can be placed on the implant.
Implants can be used to support various dental restorations, including a single crown, a bridge, or a denture. Crowns and bridges are permanent restorations that are cemented to the implant and are not removable. Implant supported dentures are removable, but unlike traditional dentures, they snap on to the implants and remain firm and stable in the mouth.
The ideal candidate for implants has good oral health, including a sufficient amount of bone in the jaw and healthy gums with no sign of gum disease.
Implants are versatile. If you are only missing one tooth, one implant plus one replacement tooth will do the trick. If you are missing several teeth in a row, a few strategically placed implants can support a permanent bridge (a set of replacement teeth). Similarly, if you have lost all of your teeth, a full bridge or full denture can be permanently fixed in your mouth with a strategic number of implants.
Conventional bridges and dentures are not fixed to the bone, and can therefore be unstable. This can make it difficult to eat or smile with confidence. Implants not only look more natural, but feel and act more like normal teeth, with a stronger biting force. And because they don't rely on neighboring teeth for support, implants don't compromise the health of your natural teeth. In fact, bridges are only expected to last 7-10 years, whereas implants will typically last a lifetime.
Consider your replacement teeth to be the same as natural teeth. They require the same daily brushing and flossing, and the same amount of regular checkups. Just like your natural teeth, the better you take care of your replacements, the longer they will last.